
インプラントは、歯を失った部分に生体親和性の高いチタン製の人工歯根を入れ、その上にご希望の歯を装着して、失った歯と変わらない咬み心地を取り戻す治療です。
自分の歯のように違和感なく咬める大きなメリットがありますが、外科治療であることから注意するポイントもあります。
当院では、インプラント治療をする前に不安が無くなるまでしっかりとご説明いたします。また安心して受診いただけるよう、何でもご質問ください。

専用のドリルで顎の骨にインプラントを埋め込む穴を開けます。

ドリルで開けた穴にインプラントを埋め込みます。

インプラントを歯肉で覆い、インプラントが顎の骨と結合するまで期間をおきます。

歯ぐきを切開し、インプラントの頭部に人工歯を連結するためのアタッチメントを装着します。

最適でお好みの人工歯をインプラントに装着します。

これでインプラント治療は終了です。咬み心地をいつまでも保つために定期健診でお守りします。

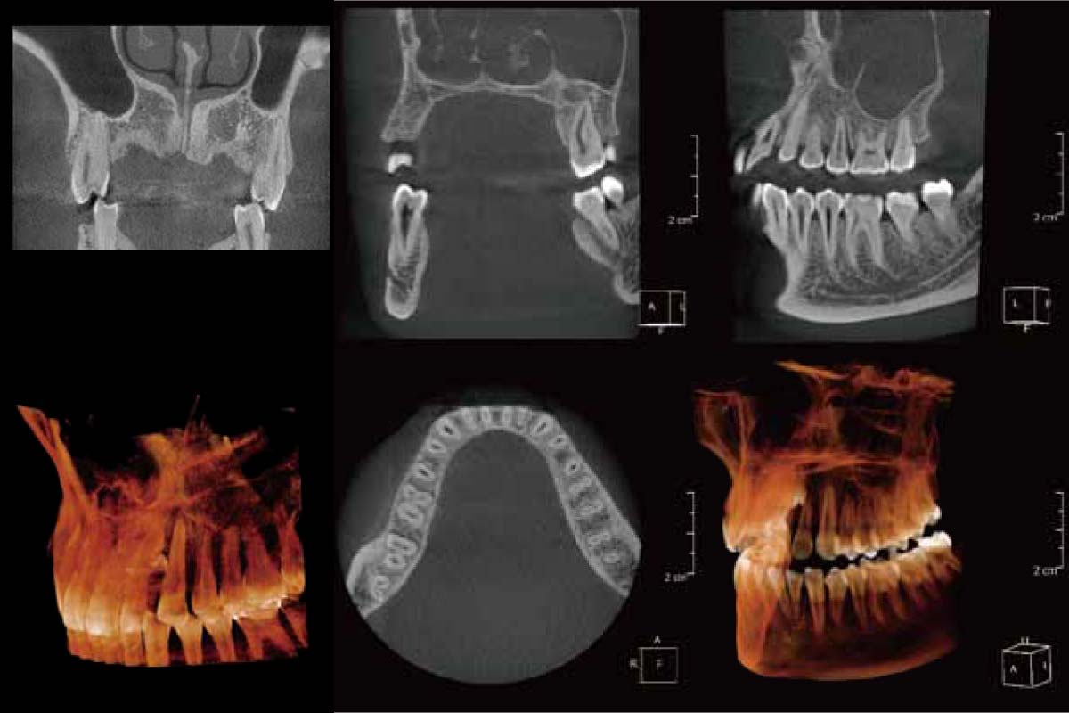
精密な診断をするために、まずCTを撮影いたします。インプラントを入れる位置の確認や種類など事前に治療をシミュレーションすることができるからです。シミュレーションの結果はご説明の際にモニターでご確認いただけます。

インプラントは埋入精度が仕上がりを大きく左右します。当院ではその精度をより高めるためにサージカルガイドを製作します。
サージカルガイドを作ることで、骨に穴を開けるドリルと、インプラントを入れる位置・角度・深さを高精度にすることができます。さらに手術時間を短くすることができるため、患者さんの身体の負担も軽減することができます。

インプラントを入れたい部分の骨が、歯周病などが原因で少なくなっている場合があります。そのままではインプラントを入れることができません。当院では、一度失われた骨を再生させることができるため、環境を整えた状態で確実な治療を行うことができます。

外科処置を伴うインプラント治療において麻酔は重要です。治療中の痛みがないのはもちろん、麻酔をすること自体も「痛くない」を実施しています。

インプラントをするためには虫歯や歯周病をしっかりと治療してから行います。またそれらのリスクが高いのか低いのかを判断する検査も実施して「お口の特徴」を知っていただくことも大切にしています。
インプラントを入れる前から、入れた後も快適にお過ごしいただくための予防歯科を大切にしています。